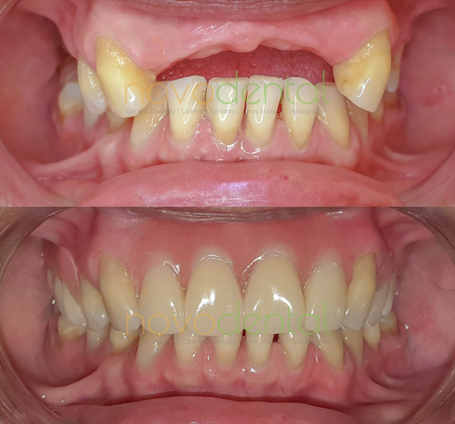
PROSTHODONTICS DENTISTRY

Branch of dentistry that focuses on dental prosthesis which restores or replaces the missing tooth structures. This includes full mouth or partial dentures, crowns, onlays, inlays and dental bridge.

DENTURE

Can be full or partial. They are used to replace missing teeth. They could be permanent, which requires professional help to be removed, or removable, which allow patients to remove them with ease.

DIFFERENT TYPES OF CROWNS
  • PFM - Porcelain fused to metal Crown consist of metal alloy at the base topped by porcelain.
  • Zirconia - Zirconia is a white ceramic with good translucency features. It resembles natural tooth enamel because of its color and translucency. It is very durable and is very hard to crack. It is the strongest material used in dentistry today.
  • E-max - Long lasting, highly aesthetic, more and more popular and expensive type of crown E-max is an all-ceramic system that is based on Lithium disilicate glass, and consists of quartz, lithium dioxide, phosphoroxide, alumina, potassium oxide and trace elements.
  • Onlay and Inlay - Custom made filling of composite material constructed out of the mouth from e-max, zircon, or ceramage that covers one more cusp and adjoining occlusal surface of the tooth.
  • Ceramage - zirconium silicate integrated indirect restorative material which can be used to create superior anterior and posterior crowns, veneers, implant-supported restorations, inlays and onlays.
  • Zirconia Milled Acrylic
  • Luxacrown - Simple, Quick and cost-effective manufacture of long-lasting crowns made directly chairside. Luxacrown is perfect for cosmetic restorative cases, Pediatric Cases, Healthy aging adult patients, Pallative patients.
NIGHT GUARD

Occlusal guard, appliance prescribed to patients to treat teeth grinding(bruxism). It protects teeth and other vital structures by offering protective barrier between upper and lower teeth.

MOUTH GUARD

Protective device for the mouth that covers the teeth and gums to prevent and reduce injury to the teeth, arches, lips and gums. A mouthguard is most often used to prevent injury in contact sports, as a treatment for bruxism or TMD.

PROSTHODONTICS DENTISTRY

Branch of dentistry that focuses on dental prosthesis which restores or replaces the missing tooth structures. This includes full mouth or partial dentures, crowns, onlays, inlays and dental bridge.

  • PFM - Porcelain fused to metal Crown consist of metal alloy at the base topped by porcelain.
  • Zirconia - Zirconia is a white ceramic with good translucency features. It resembles natural tooth enamel because of its color and translucency. It is very durable and is very hard to crack. It is the strongest material used in dentistry today.
  • E-max - Long lasting, highly aesthetic, more and more popular and expensive type of crown E-max is an all-ceramic system that is based on Lithium disilicate glass, and consists of quartz, lithium dioxide, phosphoroxide, alumina, potassium oxide and trace elements.
  • Onlay and Inlay - Custom made filling of composite material constructed out of the mouth from e-max, zircon, or ceramage that covers one more cusp and adjoining occlusal surface of the tooth.
  • Ceramage - zirconium silicate integrated indirect restorative material which can be used to create superior anterior and posterior crowns, veneers, implant-supported restorations, inlays and onlays.
  • Zirconia Milled Acrylic
  • Luxacrown - Simple, Quick and cost-effective manufacture of long-lasting crowns made directly chairside. Luxacrown is perfect for cosmetic restorative cases, Pediatric Cases, Healthy aging adult patients, Pallative patients.

Can be full or partial. They are used to replace missing teeth. They could be permanent, which requires professional help to be removed, or removable, which allow patients to remove them with ease.

protective device for the mouth that covers the teeth and gums to prevent and reduce injury to the teeth, arches, lips and gums. A mouthguard is most often used to prevent injury in contact sports, as a treatment for bruxism or TMD.

Occlusal guard, appliance prescribed to patients to treat teeth grinding(bruxism). It protects teeth and other vital structures by offering protective barrier between upper and lower teeth.